#DDCNoticias
× Inicio Causas Comunicación Educación Internacional La Frase del Dí­a Legislativo Medio Ambiente y Tiempo Memelandia Hoy Mujer y Familia Nutrición y Belleza Salud Seguridad y Justicia Tecnologí­a Turismo
Cuenta Regresiva Cultura Deportes Entretenimiento Estatal Municipal Nacional Negocios Opinión Política

Salud

Aumentan infartos cerebrales en el mundo por causa de Covid

Aumentan infartos cerebrales en el mundo por causa de Covid
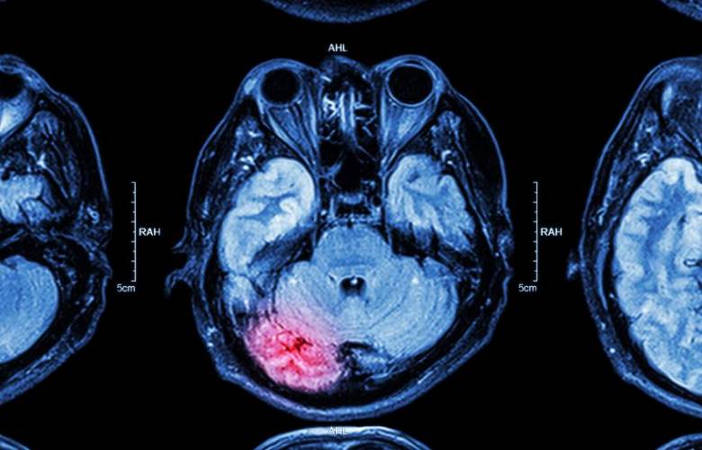
De acuerdo con datos dados en el evento, los ingresos hospitalarios en el mundo aumentaron entre un 50 y un 80 por ciento con reporte de infartos cerebrales.
Durante la pandemia por Covid-19 se incrementaron las hospitalizaciones por infartos cerebrales de un 50 a un 80 por ciento a nivel mundial, lo que atribuyeron a una consecuencia por el virus, de acuerdo con datos recabados por especialistas.

Juan Manuel Calleja Castillo, vicepresidente de la Asociación Mexicana de Enfermedad Vascular y Cerebral, refirió que previo a la epidemia por este coronavirus, las enfermedades vasculares tanto de corazón, como de cerebro son las primeras causas de muerte a nivel mundial, pero advirtió que esto ha aumentado durante la contingencia sanitaria.

En una conferencia virtual organizada por la Sociedad Mexicana de Medicina de Emergencias y la farmacéutica Boehringer Ingelheim, el neurólogo y especialista en enfermedad vascular, explicó que los coágulos de sangre desarrollados en pacientes que tienen o tuvieron Covid-19 incrementan el riesgo de infarto cerebral.

De acuerdo con datos dados en el evento, los ingresos hospitalarios en el mundo aumentaron entre un 50 y un 80 por ciento con reporte de infartos cerebrales.

"El Covid provoca coágulos, provoca infartos y provoca que se tapen las arterias a varios niveles, a nivel de las piernas, a nivel del corazón, a nivel del cerebro. Este virus que se volvió tan prevalente en el mundo y que hizo que cambiáramos nuestra vida en el año pasado, afecta a las arterias, afecta el endotelio, que es la capa interior de las arterias y entonces provoca que se tapen estas arterias y aumenta la frecuencia de infarto cerebral", precisó.

Asimismo advirtió que dicho coronavirus además aumenta el riesgo de que esta enfermedad se presente de forma más grave y aunque no existen números precisos, se prevé que muchos de ellos por miedo, subestimar los síntomas o falta de atención, hayan perecido o hayan tenido complicaciones en sus hogares.

"Todavía no sabemos, pero tememos que ha habido miles y cientos de miles que se han quedado en su casa, que no han recibido la atención oportuna para el infarto cerebral y que han quedado con discapacidad que se pudo haber evitado. Pensamos que es una gran cantidad de personas que tuvieron discapacidad, que se pudo haber evitado porque nuestros servicios de salud se saturaron mucho con el Covid o porque se quedaron en su casa y tuvieron miedo de ir al hospital.

"Y estamos seguros que este exceso de mortalidad que se ha observado en parte, es por pacientes que tuvieron Covid y no se diagnosticaron, pero estamos seguros de que también se han enfermado de infarto agudo de miocardio, de infarto cerebral, de otro tipo de enfermedades que no se pudieron tratar oportunamente y que fallecieron con un exceso de mortalidad con respecto a años anteriores", apuntó Calleja Castillo.

En el evento en el que estuvo presente el cantante Emir Pabón, se lanzó la "Campaña CAMALEÓN", que advierte sobre síntomas a detectar como signos de alerta de la enfermedad. Éstos son: cara colgada (CA); mano pesada (MA); lengua trabada (LE), y el llamado a activarse (ON) y llamar al 911.

El especialista externó el llamado a ciudadanos a estar alertas de síntomas, al advertir que de presentarse, tendrán que actuar contra reloj, pues la ventana de tiempo es de 4.5 horas para apoyar al paciente. Lamentó que sólo una cuarta parte de los enfermos llega a urgencias en ese lapso.

Se informó que se estima que en el mundo 1 de cada 6 personas tendrá un infarto cerebral alguna vez en su vida, pero el riesgo se incrementa para quienes padecen comorbilidades, menopausia, y en adultos mayores donde la cifra sube a 1 de cada 5. En México se presentan más de 145 mil infartos cerebrales de forma anual, dijo.

En tanto, Luis Daniel Sánchez Arreola, presidente de la Sociedad Mexicana de Medicina de Emergencia informó que en la Ciudad de México, el Grupo de Infarto Cerebral de Urgencias, en conjunto con el Centro Regulador de Urgencias registró 205 llamadas de alerta por esta emergencia tan sólo en la Ciudad de México.

"Por lo menos en los últimos cinco meses en la Ciudad de México, se reportaron 205 llamadas en estos cinco meses de llamadas con una alta sospecha por infarto cerebral.

"Si nosotros dividimos estas llamadas entre el número de meses, estamos hablando de que por mes, estaríamos prácticamente atendiendo 50 casos de infarto cerebral mensualmente, multipliquen esto por todo el año. Por eso decimos que es un verdadero problema de salud y algo que tenemos que intervenir de manera urgente", expuso.

Indicó que en este País, el sistema de salud debe mejorar en favor de estos pacientes, pues cifras internacionales apuntan que cada 4 minutos una persona en el mundo va a sufrir un infarto cerebral.

"El infarto cerebral es una verdadera emergencia médica. Los médicos que trabajamos en el área de urgencias durante este año, año y medio de pandemia hemos visto una gran asociación entre Covid-19 y pacientes con trombosis", insistió.

Se mencionó que una investigación con el Instituto Nacional de Salud Pública y el Instituto Nacional de Neurología, muestra que el incremento de mortalidad por infarto cerebral está más marcado en el noreste del País y en entidades como Chiapas, Oaxaca y Veracruz.

Destacados

RELACIONADOS